Τι είναι η Καρδιοπάθεια;
Η στεφανιαία νόσος είναι ένας κοινός τύπος καρδιακής νόσου και η κύρια αιτία καρδιακών προσβολών.
Οι καρδιακές παθήσεις αναφέρονται σε καταστάσεις που αφορούν την καρδιά, τα αγγεία, τους μυς, τις βαλβίδες ή τις εσωτερικές ηλεκτρικές οδούς που είναι υπεύθυνες για τη μυϊκή συστολή.
Οι συνήθεις παθήσεις της καρδιάς περιλαμβάνουν:
Στεφανιαία νόσο
Συγκοπή
Καρδιομυοπάθεια
Νόσος της Καρδιακής βαλβίδας
Αρρυθμίες
Η στεφανιαία νόσος είναι η κύρια αιτία καρδιακών προσβολών. Είναι το πιο συνηθισμένο είδος καρδιακής νόσου στις ΗΠΑ.
Τι είναι το έμφραγμα;
Η επίγνωση των αιτιών της καρδιακής προσβολής και η πρόληψη βοηθούν στη διάσωση ζωών.
Όταν μια στεφανιαία αρτηρία μπλοκάρει (συνήθως από έναν θρόμβο αίματος), μια περιοχή του καρδιακού ιστού χάνει την παροχή αίματος. Αυτή η μείωση του αίματος μπορεί να βλάψει γρήγορα ή/και να σκοτώσει τον καρδιακό ιστό, επομένως είναι απαραίτητες γρήγορες θεραπείες στο τμήμα επειγόντων περιστατικών και/ή καρδιακό καθετηριασμό για να μειωθεί η απώλεια καρδιακού ιστού.
Η απώλεια ιστού της καρδιάς λόγω απόφραξης μπορεί να προκαλέσει συμπτώματα όπως πόνο στο στήθος, δύσπνοια, αδυναμία, ακόμη και θάνατο.
Οι γρήγορες θεραπείες μείωσαν τον αριθμό των θανάτων από καρδιακές προσβολές τα τελευταία χρόνια. Περίπου 790.000 άνθρωποι υποφέρουν από καρδιακές προσβολές στις ΗΠΑ κάθε χρόνο.
Συμπτώματα καρδιακής προσβολής
Ο πόνος στο στήθος είναι το πιο ενδεικτικό σύμπτωμα καρδιακής προσβολής.
Τα παρακάτω είναι προειδοποιητικά σημάδια καρδιακής προσβολής:
Πόνος στο στήθος (μπορεί να εξαπλωθεί στην πλάτη, το λαιμό, τα χέρια και/ή το σαγόνι)
Ζάλη
Ναυτία, έμετος
Γρήγοροι ή ακανόνιστοι καρδιακοί παλμοί
Δυσκολία στην αναπνοή
Μερικοί άνθρωποι μπορεί να εμφανίσουν άγχος, δυσπεψία και/ή καούρα (μερικές γυναίκες μπορεί να παρουσιάζουν αυτά ως τα κυρίαρχα συμπτώματά τους αντί για πόνο στο στήθος)
Αδυναμία
Ζαλάδα
Κρύο ιδρώτα
Οι γυναίκες μπορεί να βιώσουν διαφορετικά σημεία και συμπτώματα καρδιακής προσβολής από τους άνδρες. Ο πόνος στο σαγόνι, η δύσπνοια και η ναυτία και ο έμετος μπορεί να είναι πιο συχνές σε γυναίκες που έχουν καρδιακή προσβολή από τους άνδρες.
Συμπτώματα καρδιακής προσβολής στις γυναίκες
Αν και μερικές γυναίκες παρουσιάζουν συμπτώματα πόνου στο στήθος, ένας μεγάλος αριθμός γυναικών δεν θα παρουσιάσει πόνο στο στήθος. Αντ ‘αυτού, οι γυναίκες έχουν συνήθως ένα διαφορετικό σύνολο συμπτωμάτων καρδιακής προσβολής.
Γνωρίστε αυτά τα συμπτώματα καρδιακής προσβολής
Αρρυθμίες
Βήχας
Καούρα
Απώλεια όρεξης
Δυσφορία
Τέτοια συμπτώματα στις γυναίκες προκαλούν καθυστερήσεις στη διάγνωση, ειδικά όταν τα συμπτώματα δεν θεωρούνται πιθανά σημάδια καρδιακών παθήσεων. Οι καθυστερήσεις στη διάγνωση μπορούν να προκαλέσουν περαιτέρω βλάβη στον καρδιακό ιστό ή ακόμα και θάνατο.
Οι γυναίκες πρέπει να ασκούνται, να σταματήσουν το κάπνισμα, να ξεκινήσουν άσκηση και να επισκέπτονται τους γιατρούς τους για τακτικούς ελέγχους ώστε να παρακολουθούν τους παράγοντες κινδύνου καρδιακών παθήσεων.
Συμπτώματα στεφανιαίας νόσου
Η μειωμένη ροή αίματος στην καρδιά προκαλεί το ενδεικτικό σύμπτωμα καρδιακής νόσου, στηθάγχη.
Η στεφανιαία νόσος εμφανίζεται όταν η πλάκα, μια κολλώδης ουσία, στενεύει ή εμποδίζει εν μέρει τις στεφανιαίες αρτηρίες (όπως το κολλώδες υλικό που βουλώνει ένα καλαμάκι) και μπορεί να οδηγήσει σε μειωμένη ροή αίματος. Αυτή η μειωμένη ροή αίματος μπορεί να προκαλέσει πόνο στο στήθος (στηθάγχη), ένα προειδοποιητικό σημάδι πιθανών καρδιακών προβλημάτων όπως καρδιακή προσβολή. Η πλάκα μπορεί επίσης να παγιδεύσει μικρούς θρόμβους αίματος, εμποδίζοντας εντελώς μια στεφανιαία αρτηρία ξαφνικά, με αποτέλεσμα καρδιακή προσβολή.
Πώς η πλάκα, οι θρόμβοι αίματος μπορούν να προκαλέσουν καρδιακή προσβολή
Οι ρήξεις πλακών μπορεί να προκαλέσουν το σχηματισμό θρόμβων που εμποδίζουν την αρτηριακή ροή αίματος.
Η πλάκα μπορεί να εμφανιστεί στις στεφανιαίες και άλλες αρτηρίες (για παράδειγμα, στις καρωτιδικές αρτηρίες). Κάποια πλάκα μπορεί να είναι σκληρή ή σταθερή εξωτερικά, αλλά μαλακή και αφρώδης ή κολλώδης στο εσωτερικό. Εάν ανοίξει η σκληρή περιοχή που μοιάζει με κέλυφος, συστατικά αίματος όπως τα αιμοπετάλια και οι μικροί θρόμβοι σχηματίζουν έναν μεγάλο θρόμβο και εμποδίζουν αποτελεσματικά τη ροή του αίματος μέσω της αρτηρίας. Ο καρδιακός ιστός βρίσκεται χαμηλότερα από τον θρόμβο στη συνέχεια, υποφέρει από έλλειψη αίματος και καταστρέφεται ή πεθαίνει.
Συμπτώματα καρδιακής προσβολής; Καλέστε 166 – 112
Η έγκαιρη αναγνώριση και θεραπεία των συμπτωμάτων καρδιακής προσβολής βελτιώνει τα αποτελέσματα.
Εάν εσείς ή ένα άτομο αναπτύξετε συμπτώματα καρδιακής προσβολής, μην καθυστερείτε να λάβετε ιατρική βοήθεια. Καλέστε το 166 ή ζητήστε από κάποιον να καλέσει.
Η καθυστέρηση της φροντίδας μπορεί να οδηγήσει σε αυξημένη καρδιακή βλάβη ή θάνατο. Όσο πιο γρήγορα εντοπιστούν τα συμπτώματα καρδιακής προσβολής, τόσο πιο γρήγορα ο ασθενής μπορεί να αντιμετωπιστεί, μεγιστοποιώντας την πιθανότητα ενός καλού αποτελέσματος.
Αιφνίδια Καρδιακή Ανακοπή
Οι αρρυθμίες μπορεί να προκαλέσουν ανωμαλίες στα ηλεκτρικά σήματα της καρδιάς προκαλώντας αιφνίδιο θάνατο.
Μια καρδιακή προσβολή μπορεί να προκαλέσει άλλες ανωμαλίες εκτός από την παρεμπόδιση της ροής του αίματος. Για παράδειγμα, μπορεί να συμβεί αιφνίδιος καρδιακός θάνατος όταν τα ηλεκτρικά σήματα της καρδιάς γίνονται ασταθή (αρρυθμίες).
Όταν ο καρδιακός ιστός που είναι υπεύθυνος για την τακτική ηλεκτρική διέγερση των συσπάσεων του καρδιακού μυός έχει καταστραφεί, η καρδιά σταματά αποτελεσματικά να αντλεί αίμα. Ο θάνατος συμβαίνει συνήθως σε λίγα λεπτά αφότου η καρδιά σταματήσει να αντλεί αίμα.
Κατά συνέπεια, η ταχεία στεφανιαία πνευμονική ανάνηψη (ΚΑΡΠΑ) και η αποκατάσταση της οργανωμένης ηλεκτρικής δραστηριότητας (συνήθως γίνεται με ηλεκτροπληξία με απινιδωτή) μπορεί να αποκαταστήσει την αποτελεσματική άντληση αίματος. Αυτό μπορεί να είναι σωτήριο για ορισμένα άτομα.
Ακανόνιστος καρδιακός παλμός (αρρυθμία)
Οι αρρυθμίες είναι ένας άλλος τύπος καρδιακής νόσου που μπορεί να αυξήσει τον κίνδυνο εμφράγματος ή εγκεφαλικού.
Οι ασθενείς που παρατηρούν ότι οι καρδιακοί τους παλμοί είναι ασυνήθιστα γρήγοροι, βραδείς ή ακανόνιστοι μπορεί να βιώνουν ακανόνιστους ηλεκτρικούς παλμούς που ονομάζονται αρρυθμίες. Μπορεί επίσης να έχουν συμπτώματα αδυναμίας, δύσπνοια και άγχος. Οι αρρυθμίες μπορούν να αλλάξουν, να επιβραδύνουν ή ακόμα και να σταματήσουν την ικανότητα της καρδιάς να αντλεί αίμα.
Κατά συνέπεια, τα άτομα με αρρυθμίες πρέπει να αναζητήσουν επείγουσα ιατρική φροντίδα, ειδικά εάν η αρρυθμία είναι επίμονη ή προκαλεί συμπτώματα που σχετίζονται με συμπτώματα καρδιακής προσβολής, όπως πόνος στο στήθος. Η κοιλιακή μαρμαρυγή και η κολπική μαρμαρυγή είναι δύο παραδείγματα αρρυθμιών. Η κολπική μαρμαρυγή μπορεί να αυξήσει τον κίνδυνο εγκεφαλικού επεισοδίου.
Καρδιομυοπάθεια
Η καρδιομυοπάθεια μπορεί να επηρεάσει την ικανότητα της καρδιάς να αντλεί αίμα στο υπόλοιπο σώμα.
Είναι μια κατάσταση που υποδεικνύεται από ανώμαλο καρδιακό μυ. Οι μη φυσιολογικοί μύες δυσκολεύουν την καρδιά να αντλήσει αίμα στο υπόλοιπο σώμα.
Κύριοι τύποι καρδιομυοπάθειας
Διατατική (τεντωμένος και λεπτότερος μυς)
Υπερτροφική (παχύς καρδιακός μυς)
Περιοριστική (σπάνιο πρόβλημα όπου ο καρδιακός μυς δεν τεντώνεται κανονικά και έτσι οι θάλαμοι δεν γεμίζουν σωστά με αίμα)
Σημεία και συμπτώματα καρδιομυοπάθειας
Δυσκολία στην αναπνοή
Κούραση
Οίδημα ή πρήξιμο στα άκρα ποδών, τα πόδια και τους αστραγάλους
Βήχας όταν ξαπλώνεις
Ζάλη
Πόνος στο στήθος
Ακανόνιστοι καρδιακοί παλμοί
Συγκοπή
Η καρδιακή ανεπάρκεια έχει ως αποτέλεσμα η καρδιά να δυσκολεύεται να αντλήσει αρκετό αίμα σε όλο το σώμα.
Καρδιακή ανεπάρκεια (που ονομάζεται επίσης συμφορητική καρδιακή ανεπάρκεια) σημαίνει ότι η δράση άντλησης της καρδιάς δεν μπορεί να ικανοποιήσει τη ζήτηση του σώματος για αίμα.
Δεν σημαίνει ότι η καρδιά αδυνατεί να αντλήσει – σημαίνει αποτυχία σε μια πτυχή της ικανότητας της καρδιάς να ολοκληρώσει μια κατά τα άλλα φυσιολογική λειτουργία.
Τα συμπτώματα και τα σημεία είναι σχεδόν πανομοιότυπα με αυτά που παρατηρούνται με καρδιομυοπάθεια. Οι περισσότερες περιπτώσεις καρδιακής ανεπάρκειας είναι χρόνια, μακροχρόνια καρδιακή ανεπάρκεια.
Συγγενές καρδιακό ελάττωμα
Ένα συγγενές καρδιακό ελάττωμα είναι ένα ελάττωμα στην ανάπτυξη της καρδιάς ως οργάνου που συνήθως παρατηρείται για πρώτη φορά κατά τη γέννηση, αν και μερικά εξαφανίζονται μέχρι την ενηλικίωση. Υπάρχουν πολλοί τύποι συγγενών καρδιακών ανωμαλιών και μερικοί δεν χρειάζονται θεραπεία, αλλά άλλοι μπορεί να χρειαστούν χειρουργική αποκατάσταση.
Η Αμερικανική Ένωση Καρδιάς απαριθμεί τουλάχιστον 18 διαφορετικούς τύπους συγγενών καρδιακών ανωμαλιών – πολλά από αυτά έχουν επιπλέον ανατομικές παραλλαγές.
Τα συγγενή καρδιακά ελαττώματα θέτουν αυτούς τους ασθενείς σε υψηλότερο κίνδυνο να εμφανίσουν αρρυθμίες, καρδιακή ανεπάρκεια, λοιμώξεις της καρδιακής βαλβίδας και άλλα προβλήματα.
Πρέπει να συμβουλευτείτε έναν καρδιολόγο (συχνά παιδοκαρδιολόγο) για τον τρόπο αντιμετώπισης αυτών των ελαττωμάτων. Οι πρόσφατες εξελίξεις επέτρεψαν στους χειρουργούς να επιδιορθώσουν πολλά από αυτά τα ελαττώματα, έτσι ώστε ο ασθενής να μπορέσει να αναπτυχθεί φυσιολογικά.
Τα πιο συνηθισμένα συγγενή καρδιακά ελαττώματα είναι προβλήματα με τις καρδιακές βαλβίδες και τρύπες στα τοιχώματα της καρδιάς.
Έλεγχος καρδιακών παθήσεων: ΗΚΓ (Ηλεκτροκαρδιογράφημα)
Ένα ΗΚΓ μετρά την ηλεκτρική δραστηριότητα του καρδιακού παλμού.
Η ηλεκτρική δραστηριότητα της καρδιάς μπορεί να φανεί με ηλεκτροκαρδιογράφημα.
Τα ΗΚΓ είναι εξετάσεις που παρέχουν σημαντικές πληροφορίες στον ιατρό για τον καρδιακό ρυθμό, τη βλάβη στην καρδιά ή την καρδιακή προσβολή και μπορεί να παρέχουν πολλές άλλες σημαντικές πληροφορίες ή ενδείξεις για την κατάσταση του ασθενούς. Επιπλέον, τα ΗΚΓ μπορούν να συγκριθούν με προηγούμενα και μελλοντικά ΗΚΓ για να φανούν οι αλλαγές στην ηλεκτρική δραστηριότητα της καρδιάς με την πάροδο του χρόνου ή μετά από θεραπείες.
Δοκιμές καρδιακών παθήσεων: Stress Test
![]() |
Οι γιατροί μπορούν να διαγνώσουν τη στεφανιαία νόσο με ένα τεστ αντοχής.
| Ένα τεστ αντοχής μετρά την ικανότητα της καρδιάς ενός ατόμου να ανταποκρίνεται στις απαιτήσεις του σώματος για περισσότερο αίμα κατά τη διάρκεια του στρες (άσκηση ή εργασία). Καταγράφεται μια συνεχής μέτρηση της ηλεκτρικής δραστηριότητας της καρδιάς (συνεχές ΗΚΓ ή λωρίδας ρυθμού) μαζί με τον καρδιακό ρυθμό και την αρτηριακή πίεση καθώς το στρες (άσκηση) ενός ατόμου αυξάνεται σταδιακά σε διάδρομο. Οι πληροφορίες βοηθούν να δείξει πόσο καλά ανταποκρίνεται η καρδιά στις απαιτήσεις του σώματος και μπορεί να παρέχει πληροφορίες για τη διάγνωση και τη θεραπεία προβλημάτων. Μπορεί επίσης να χρησιμοποιηθεί για να δείτε τα αποτελέσματα της θεραπείας στην καρδιά. |
Έλεγχος καρδιακών παθήσεων: Holter Monitor
Μια οθόνη Holter φοριέται συνεχώς για 1 έως 2 ημέρες για να καταγράψει τη δραστηριότητα της καρδιάς.
Πολλοί άνθρωποι έχουν διαλείπουσα συμπτώματα, όπως διαλείποντα πόνο στο στήθος ή περιστασιακά συναισθήματα της καρδιάς τους να χτυπάει γρηγορότερα ή ακανόνιστα. Ωστόσο, το ΗΚΓ τους δεν εμφανίζει αλλαγές. Για να ανιχνεύσει αυτές τις διαλείπουσες αλλαγές, μια συσκευή που ονομάζεται οθόνη Holter μπορεί να φορεθεί για αρκετές ημέρες για να καταγράψει την ηλεκτρική λειτουργία των καρδιών.
Μια οθόνη Holter είναι παρόμοια με ένα τεστ αντοχής, αλλά φοριέται για 1 ή 2 ημέρες και παρέχει μια συνεχή καταγραφή που μοιάζει με ΗΚΓ της ηλεκτρικής δραστηριότητας της καρδιάς κατά τη διάρκεια αυτών των ημερών.
Οι περισσότεροι γιατροί θα ζητήσουν από τον ασθενή να τηρεί ημερολόγιο για την ώρα που κάνει συγκεκριμένες δραστηριότητες (για παράδειγμα, περπατώντας ένα μίλι ξεκινώντας από τις 7:20 π.μ. και τελειώνοντας στις 7:40 π.μ.) και να απαριθμεί τυχόν συμπτώματα (για παράδειγμα, “βίωσε λαχάνιασμα ή γρήγορους ακανόνιστους καρδιακούς παλμοίύς στις 7:35 π.μ. »). Οι εγγραφές της οθόνης Holter μπορούν στη συνέχεια να εξεταστούν με βάση το πότε εμφανίστηκαν ορισμένα συμπτώματα.
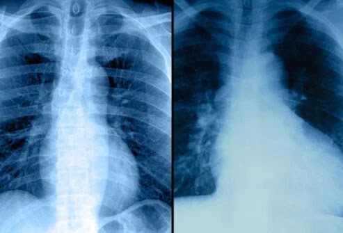
Έλεγχος καρδιακών παθήσεων: Ακτινογραφία θώρακα
Μια ακτινογραφία θώρακος μπορεί να βοηθήσει στον προσδιορισμό εάν κάποιος έχει διογκωμένη καρδιά ή συσσώρευση υγρού στους πνεύμονες λόγω καρδιακής ανεπάρκειας.
Οι ακτινογραφίες θώρακα μπορούν να παρέχουν περιορισμένες πληροφορίες σχετικά με την κατάσταση της καρδιάς. Οι ακτινογραφίες θώρακα χρησιμοποιούνται για να παρέχουν στον γιατρό μια εικόνα τόσο της καρδιάς όσο και των πνευμόνων για να καθοριστεί εάν υπάρχουν ανωμαλίες. Αυτές οι δύο ακτινογραφίες δείχνουν μια σχετικά φυσιολογική καρδιά στα αριστερά. Στη δεξιά ακτινογραφία, μια διογκωμένη καρδιά (κυρίως η αριστερή κοιλία) φαίνεται εύκολα και υποδηλώνει ότι ο κύριος θάλαμος άντλησης της καρδιάς δεν λειτουργεί κανονικά. Επιπλέον, οι ακτίνες Χ μπορεί να δείχνουν συσσώρευση υγρού στους πνεύμονες, πιθανώς από καρδιακή ανεπάρκεια.
Έλεγχος καρδιακών παθήσεων: Ηχοκαρδιογράφημα
Το ηχοκαρδιογράφημα χρησιμοποιεί ηχητικά κύματα για να απεικονίσει την καρδιά.
Το ηχοκαρδιογράφημα είναι μια κινούμενη εικόνα πραγματικού χρόνου μιας λειτουργούσας καρδιάς που γίνεται με τη χρήση ηχητικών κυμάτων (υπερήχων) για τη δημιουργία εικόνων.
Τα ηχοκαρδιογραφήματα χρησιμοποιούν την ίδια μη επεμβατική τεχνολογία που χρησιμοποιείται για την εξέταση του εμβρύου κατά τη διάρκεια της εγκυμοσύνης. Μπορεί να δείξει πόσο καλά λειτουργούν οι καρδιακοί θάλαμοι και οι βαλβίδες της καρδιάς (για παράδειγμα, αποτελεσματική ή κακή δράση άντλησης, ροή αίματος μέσω των βαλβίδων), πριν και μετά τη θεραπεία, καθώς και άλλα χαρακτηριστικά.
Έλεγχος καρδιακών παθήσεων: Καρδιακή τομογραφία
Μια αξονική τομογραφία καρδιάς δείχνει συσσώρευση ασβεστίου στις στεφανιαίες αρτηρίες για εκείνους που διατρέχουν αυξημένο κίνδυνο καρδιακών παθήσεων και καρδιακής προσβολής.
Η εξειδικευμένη καρδιογραφική τομογραφία (CT) ή «καρδιακή αξονική τομογραφία» μπορεί να παρέχει λεπτομερείς τρισδιάστατες εικόνες της καρδιάς. Οι εικόνες μπορούν να χειριστούν για να αναζητήσουν συσσώρευση ασβεστίου (πλάκα) στις στεφανιαίες αρτηρίες ή να παρέχουν εικόνες τέτοιων εσωτερικών δομών της καρδιάς όπως βαλβίδες ή πάχος τοιχώματος.
Οι αξονικές τομογραφίες μπορούν επίσης να χρησιμοποιηθούν για την εξέταση φυσιολογικής ανατομίας της καρδιάς ή συγγενών ελαττωμάτων. Οι πληροφορίες από έναν αξονικό τομογράφο μπορούν να δώσουν εικόνα για διάφορα προβλήματα καρδιακών παθήσεων.
Έλεγχος καρδιακών παθήσεων: Καρδιακός καθετηριασμός
Ο καρδιακός καθετηριασμός μπορεί να βοηθήσει τους γιατρούς να βρουν μπλοκαρίσματα στις αρτηρίες που μπορεί να προκαλέσουν καρδιακή προσβολή.
Η πλάκα στις καρδιακές αρτηρίες μπορεί να είναι ένα σοβαρό πρόβλημα, ακόμη και απειλητικό για τη ζωή, σε ορισμένους ασθενείς. Η διάγνωση της απόφραξης της πλάκας των στεφανιαίων αρτηριών και η θεραπεία των αποφράξεων έχει βελτιώσει τη ζωή πολλών ασθενών με στεφανιαία νόσο. Ο καρδιακός καθετηριασμός είναι μια τεχνική που μπορεί να παρέχει τόσο διαγνωστικές πληροφορίες όσο και θεραπευτική μεθοδολογία σε μία διαδικασία. Η τεχνική είναι επεμβατική και μπορεί να χρησιμοποιηθεί για τον εντοπισμό αποφράξεων στην καρδιά που προκαλούν καρδιακές προσβολές.
Πώς λειτουργεί ο καρδιακός καθετηριασμός
Ένας λεπτός σωλήνας τοποθετείται σε ένα αιμοφόρο αγγείο στο πόδι ή το χέρι και περνάει με σπείρωμα στην καρδιά και στο άνοιγμα μιας στεφανιαίας αρτηρίας.
Η βαφή μπαίνει στο σωλήνα και μπαίνει στην αρτηρία.
Ένα ειδικό μηχάνημα ακτίνων Χ απεικονίζει τη βαφή, που δείχνει στένωση ή απόφραξη της αρτηρίας.
Ο ίδιος σωλήνας μπορεί να χρησιμοποιηθεί με ειδικές άκρες για το άνοιγμα της στεφανιαίας αρτηρίας με αγγειοπλαστική (το μικρό μπαλόνι είναι φουσκωμένο) ή να χρησιμοποιηθεί για την τοποθέτηση ενός συρμάτινου πλέγματος (stent) που διαστέλλεται για να κρατήσει την αρτηρία ανοιχτή.
Ζώντας με καρδιακές παθήσεις
Η παρακολούθηση των εντολών του γιατρού σας είναι ο καλύτερος τρόπος για τη διαχείριση των καρδιακών παθήσεων και τη μείωση του κινδύνου επιπλοκών.
Οι περισσότεροι τύποι καρδιακών παθήσεων είναι χρόνιοι αλλά αργά προοδευτικοί όπως η καρδιακή ανεπάρκεια ή η μυοκαρδιοπάθεια. Αρχίζουν με μικρά συμπτώματα που συχνά επιδεινώνονται αργά και απαιτούν μακροχρόνια ιατρική θεραπεία.
Συμπτώματα που μπορεί να αντισταθούν στη θεραπεία
Οίδημα στον αστράγαλο
Κούραση
Κατακράτηση υγρών
Δυσκολία στην αναπνοή
Οι αλλαγές στον τρόπο ζωής μπορεί να γίνουν απαραίτητες (για παράδειγμα, οξυγόνο στο σπίτι, περιορισμένη δραστηριότητα.)
Πάρτε φάρμακα σύμφωνα με τις οδηγίες του γιατρού σας. Ακολουθήστε τη διατροφή και το πρόγραμμα άσκησης του γιατρού για εσάς. Εάν εμφανίσετε νέα ή επιδεινωμένα συμπτώματα, επισκεφθείτε αμέσως το γιατρό σας.
Θεραπεία καρδιακών παθήσεων: Φάρμακα
Τα φάρμακα βοηθούν στη διαχείριση των καρδιακών παθήσεων με διάφορους μηχανισμούς.
Η πρόοδος στα φάρμακα που μπορούν να βοηθήσουν στη μείωση των συμπτωμάτων και στην επιβράδυνση της βλάβης των καρδιακών παθήσεων έχει βοηθήσει την πλειοψηφία των ασθενών με καρδιακές παθήσεις.
Διατίθενται φάρμακα για τα ακόλουθα:
Χαμηλότερη αρτηριακή πίεση (αντιυπερτασικά)
Χαμηλότεροι καρδιακοί παλμοί (βήτα αναστολείς)
Χαμηλότερα επίπεδα χοληστερόλης για μείωση της πλάκας (δίαιτα, στατίνες)
Βοηθούν στη σταθεροποίηση των μη φυσιολογικών καρδιακών ρυθμών (κατάλυση, ρυθμιστές της καρδιάς)
Μειώνουν ή αποτρέπουν την πήξη στις στεφανιαίες αρτηρίες (αραιωτικά αίματος)
Βελτιώνουν την ικανότητα άντλησης της καρδιάς ενός ατόμου με καρδιακές παθήσεις (ινότροπα μέσα)
Αφαιρούν την περίσσεια υγρού από το σύστημα και μειώνουν τον όγκο αίματος (διουρητικό)
Πάρτε καρδιακά φάρμακα σύμφωνα με τις οδηγίες του γιατρού σας για να ελέγξετε την κατάστασή σας. Ποτέ μην παραλείπετε δόσεις των φαρμάκων σας και μην σταματάτε να τα παίρνετε χωρίς να μιλήσετε πρώτα με το γιατρό σας.
Θεραπεία καρδιακών παθήσεων: Αγγειοπλαστική
Η αγγειοπλαστική μπορεί να βοηθήσει στην πρόληψη καρδιακών προσβολών ανοίγοντας φραγμένες στεφανιαίες αρτηρίες.
Άλλες θεραπείες για καρδιακές παθήσεις περιλαμβάνουν ειδικές τεχνικές όπως αγγειοπλαστική και τοποθέτηση stent.
Αγγειοπλαστική Βήμα προς Βήμα
Ένας λεπτός καθετήρας ή σωλήνας (στεντ) τοποθετείται σε στεφανιαία αρτηρία και περνά με σπείρωμα μέσω απόφραξης σαν θρόμβος.
Ένα μπαλόνι είναι φουσκωμένο και παραμερίζει το εμπόδιο.
Το μπαλόνι στη συνέχεια ξεφουσκώνει αφήνοντας την αρτηρία ξεμπλοκαρισμένη, επιτρέποντας έτσι καλή ροή αίματος.
Συχνά, μετά από αγγειοπλαστική, ένας διαστελλόμενος σωλήνας πλέγματος εισάγεται και επεκτείνεται, ενισχύοντας την αρτηρία για να μην καταρρεύσει.
Οι νοσηλευτές θα ασκήσουν πίεση στην περιοχή όπου εισήχθη ο καθετήρας για τουλάχιστον 15 λεπτά. Ο ασθενής πρέπει να ξαπλώσει ανάσκελα για αρκετές ώρες για να ελαχιστοποιήσει τον κίνδυνο αιμορραγίας. Ο γιατρός θα διατάξει τον ασθενή να αποφύγει να σηκώσει βαριά αντικείμενα και να αποφύγει την έντονη σωματική δραστηριότητα για ορισμένο χρονικό διάστημα μετά τη διαδικασία, συνήθως 1 έως 2 ημέρες.
Θεραπεία καρδιακών παθήσεων: Χειρουργική παράκαμψη
Η χειρουργική επέμβαση παράκαμψης στεφανιαίας αρτηρίας είναι μια αποτελεσματική, επεμβατική διαδικασία για τη θεραπεία καρδιακών παθήσεων.
Μερικές στεφανιαίες αρτηρίες ασθενών δεν είναι καλές υποψήφιες για αγγειοπλαστική ή/και στεντ. Αυτοί οι ασθενείς μπορεί να επωφεληθούν από μια άλλη τεχνική θεραπείας που ονομάζεται χειρουργική παράκαμψη. Η χειρουργική παράκαμψη συμβαίνει όταν ένας χειρουργός αφαιρεί ένα αιμοφόρο αγγείο από ένα μέρος του σώματος (στήθος, πόδια ή χέρια) και το χρησιμοποιεί για να συνδέσει ένα ανοιχτό τμήμα μιας στεφανιαίας αρτηρίας με ένα άλλο ανοιχτό τμήμα, παρακάμπτοντας έτσι την περιοχή που έχει εμποδίσει τη ροή του αίματος. Συχνά ο χειρουργός μπορεί να χρειαστεί να παρακάμψει περισσότερες από μία αρτηρίες.
Η απόφαση να δοκιμάσετε και να τοποθετήσετε στεντ σε μια στεφανιαία αρτηρία έναντι χειρουργικής παράκαμψης συνιστάται συνήθως στον ασθενή από τον καρδιολόγο και τον καρδιοχειρουργό του. Η χειρουργική επέμβαση παράκαμψης γίνεται συνήθως εάν οι στεφανιαίες αρτηρίες στενεύουν ή μπλοκάρουν σε πολλά σημεία.
Η διαδικασία είναι γνωστή ως μόσχευμα παράκαμψης στεφανιαίας αρτηρίας. Ο γιατρός θα πάρει αιμοφόρα αγγεία από άλλο μέρος του σώματος και θα τα μεταμοσχεύσει στην καρδιά για να παρακάμψει μία, δύο, τρεις ή περισσότερες αποφραγμένες στεφανιαίες αρτηρίες. Η διαδικασία απαιτεί παραμονή στο νοσοκομείο μετά για την ανάρρωση.
Ποιος κινδυνεύει για καρδιακές παθήσεις;
Οι συνθήκες υγείας, ο τρόπος ζωής, η ηλικία και το οικογενειακό ιστορικό μπορεί να αυξήσουν τον κίνδυνο για καρδιακές παθήσεις. Αν και οι άνδρες, ακόμη και σε νεότερη ηλικία, έχουν μεγαλύτερο κίνδυνο για καρδιακές παθήσεις από τις γυναίκες, οι καρδιακές παθήσεις εξακολουθούν να είναι ο νούμερο ένα δολοφόνος και των δύο φύλων (περίπου 611.000 συνολικοί θάνατοι/έτος).
Περίπου 735.000 άνθρωποι στις ΗΠΑ υποφέρουν από καρδιακή προσβολή κάθε χρόνο. Άτομα με οικογενειακό ιστορικό καρδιακών παθήσεων, που καπνίζουν και είναι παχύσαρκα έχουν μεγαλύτερο κίνδυνο ανάπτυξης καρδιακών παθήσεων.
Περίπου οι μισοί Αμερικανοί (47%) έχουν τουλάχιστον έναν από τους τρεις βασικούς παράγοντες κινδύνου για καρδιακές παθήσεις, συμπεριλαμβανομένης της υψηλής αρτηριακής πίεσης, της υψηλής χοληστερόλης ή του καπνίσματος. Περίπου 80 εκατομμύρια άνθρωποι στις ΗΠΑ έχουν κάποια μορφή καρδιακής νόσου. Είναι η κύρια αιτία θανάτου σε άνδρες και γυναίκες στις ΗΠΑ.
Ελεγχόμενοι κίνδυνοι καρδιακών παθήσεων
Συχνά, οι παράγοντες κινδύνου για καρδιακές παθήσεις μπορούν να αντιμετωπιστούν ή να μειωθούν με απλές μεθόδους.
Οι συνήθεις παράγοντες κινδύνου για καρδιακές παθήσεις περιλαμβάνουν τους ακόλουθους:
Κίνδυνοι από καρδιακές παθήσεις που μπορείτε να ελέγξετε ή να τροποποιήσετε
Διαβήτης
Αυξημένη χοληστερόλη
Υψηλή πίεση του αίματος
Έλλειψη φυσικής δραστηριότητας
Σταμάτημα καπνίσματος
Αυτοί οι παράγοντες κινδύνου μπορούν να μειωθούν απλά κάνοντας επιλογές υγιεινού τρόπου ζωής και λαμβάνοντας φάρμακα. Ο γιατρός πρωτοβάθμιας φροντίδας μπορεί να σας βοηθήσει με τις επιλογές και τα φάρμακά σας. Το στρες, το υπερβολικό βάρος ή η παχυσαρκία και η κατανάλωση αλκοόλ συντελούν στους παράγοντες κινδύνου για καρδιακές παθήσεις. Συζητήστε με το γιατρό σας για το πώς να μειώσετε τον κίνδυνο.
Το κάπνισμα αυξάνει τον κίνδυνο καρδιακών παθήσεων
Το κάπνισμα είναι ένας τροποποιήσιμος παράγοντας κινδύνου για καρδιακές παθήσεις.
Πολλοί ερευνητές προτείνουν ότι ένα από τα καλύτερα πράγματα που μπορεί να κάνει ένα άτομο για να μειώσει τον κίνδυνο καρδιακών παθήσεων είναι να σταματήσει το κάπνισμα τσιγάρων. Το κάπνισμα αυξάνει τον κίνδυνο ενός ατόμου για καρδιακές παθήσεις από 2 έως περίπου 4 φορές περισσότερο από τους μη καπνιστές. Το κάπνισμα μπορεί να βλάψει τον καρδιακό μυ, τα αιμοφόρα αγγεία του, μπορεί να αυξήσει την αρτηριακή πίεση, να αυξήσει τα επίπεδα μονοξειδίου του άνθρακα και να μειώσει το οξυγόνο που διατίθεται στον ιστό της καρδιάς.
Τα άτομα που δεν καπνίζουν αλλά εκτίθενται σε παθητικό κάπνισμα διατρέχουν μεγαλύτερο κίνδυνο για καρδιακές παθήσεις από εκείνα που δεν εκτίθενται σε παθητικό κάπνισμα. Παρόλο που πάνω από 135.000 άνθρωποι πεθαίνουν κάθε χρόνο από καρδιακές παθήσεις που σχετίζονται με το κάπνισμα, ποτέ δεν είναι αργά για να κόψετε το κάπνισμα γιατί μόλις το κόψετε, ο κίνδυνος καρδιακών παθήσεων αρχίζει να μειώνεται σχεδόν αμέσως. Σύμφωνα με την Αμερικανική Ένωση Καρδιάς, υπάρχουν 480.000 θάνατοι από ασθένειες που σχετίζονται με το κάπνισμα στις ΗΠΑ κάθε χρόνο.
Ζωή μετά από έμφραγμα
Η ζωή δεν σταματά μετά από καρδιακή προσβολή όταν τροποποιείτε τον τρόπο ζωής σας.
Μην εγκαταλείπετε τις δραστηριότητες σας εάν έχετε υποστεί καρδιακή προσβολή. Εάν ένα άτομο υποστεί καρδιακή προσβολή, είναι ακόμα δυνατό να αναπτυχθεί ένας υγιεινός τρόπος ζωής. Πολλοί γιατροί συνιστούν στους ασθενείς τους να συμμετέχουν σε πρόγραμμα καρδιακής αποκατάστασης και να μάθουν πώς να αποφεύγουν το τσιγάρο, να αναπτύξουν μια υγιεινή διατροφή και να γίνουν πιο δραστήριοι. Όλες αυτές οι αλλαγές μπορεί να βοηθήσουν την καρδιά ενός ατόμου να ανακάμψει και να λειτουργήσει καλύτερα και να μειώσει την πιθανότητα πρόσθετων καρδιακών προβλημάτων.
Περίπου το 20 τοις εκατό των ατόμων άνω των 45 ετών θα υποστούν άλλη καρδιακή προσβολή εντός 5 ετών από την πρώτη καρδιακή προσβολή. Μειώστε τον κίνδυνο μελλοντικών καρδιακών προβλημάτων πηγαίνοντας σε επακόλουθα ραντεβού με το γιατρό σας και παίρνοντας φάρμακα σύμφωνα με τις οδηγίες. Συμμετέχετε στην καρδιακή αποκατάσταση και ζητήστε υποστήριξη από αγαπημένα σας πρόσωπα και εξωτερική βοήθεια εάν τη χρειάζεστε. Διαχειριστείτε τους παράγοντες κινδύνου καρδιακών παθήσεων που μπορείτε να ελέγξετε για να μειώσετε τον κίνδυνο μελλοντικών καρδιακών προβλημάτων.
Πρόληψη καρδιακών παθήσεων
Υπάρχουν πολλά πράγματα που μπορείτε να κάνετε για να μειώσετε τον κίνδυνο καρδιακών παθήσεων.
Η πρόληψη των καρδιακών παθήσεων και η μείωση του κινδύνου είναι δυνατόν με έναν υγιεινό τρόπο ζωής.
Τα βασικά συστατικά ενός υγιεινού τρόπου ζωής περιλαμβάνουν:
Ποτέ μην καπνίζετε ή σταματάτε το τσιγάρο και κάνετε χρήση άλλων προϊόντων καπνού.
Ακολουθείτε μια θρεπτική διατροφή (πολλά λαχανικά και φρούτα, λιγότερα λιπαρά, σάκχαρα και κρέατα)
Κάντε τουλάχιστον 30 λεπτά άσκησης σχεδόν κάθε μέρα
Αποφύγετε το αλκοόλ ή μην καταναλώνετε περισσότερο από 1 ποτό την ημέρα για τις γυναίκες και όχι περισσότερο από 2 ποτά την ημέρα για τους άνδρες
Εάν χρειάζεται, επιτύχετε ιατρικό έλεγχο του διαβήτη, της υψηλής αρτηριακής πίεσης και της χοληστερόλης
Ενθαρρύνετε φίλους και συγγενείς να σας βοηθήσουν. ‘Ισως θα μπορούσαν να επωφεληθούν από το καλό σας παράδειγμα!
Γνωρίστε το οικογενειακό ιστορικό καρδιακών παθήσεων.
Διαχειριστείτε τα επίπεδα άγχους σας.
Γνωρίστε τα προειδοποιητικά σημάδια για καρδιακή προσβολή και εγκεφαλικό επεισόδιο και ενεργήστε γρήγορα εάν παρατηρήσετε σημεία και συμπτώματα στον εαυτό σας ή στους άλλους.
Παρακολουθήστε το σάκχαρο στο αίμα σας και προσέξτε για σημεία και συμπτώματα διαβήτη.
Προσέξτε το ροχαλητό. μπορεί να υποδεικνύει ότι έχετε άπνοια ύπνου, η οποία αυξάνει τον κίνδυνο καρδιακών παθήσεων, υψηλής αρτηριακής πίεσης και εγκεφαλικού.
Καρδιακές παθήσεις και δίαιτα
Η κατανάλωση κυρίως χορτοφαγικής διατροφής με ψάρια, πουλερικά και δημητριακά ολικής αλέσεως μπορεί να σας βοηθήσει να διατηρήσετε την καρδιά σας υγιή.
Ένα βασικό κλειδί για την πρόληψη, την ανάρρωση και την επιβράδυνση των καρδιακών παθήσεων είναι μια υγιεινή διατροφή για την καρδιά.
Οι περισσότεροι καρδιολόγοι συστήνουν τις παρακάτω τροφές.
Υγιεινά τρόφιμα για την καρδιά
Φρούτα
Όσπρια
Λαχανικά
Ολικής αλέσεως
Τροφές που μπορεί να βοηθήσουν στη μείωση των επιπέδων χοληστερόλης
Ξηροί καρποί
Φυτικά έλαια
Σπόροι
Η κατανάλωση ψαριών περίπου δύο φορές την εβδομάδα είναι μια καλή πηγή πρωτεΐνης χωρίς τα λιπαρά που βρίσκονται στο κόκκινο κρέας. Μερικοί ερευνητές έχουν προτείνει ότι μια πιο χορτοφαγική διατροφή μπορεί πραγματικά να αντιστρέψει ορισμένες πτυχές της στεφανιαίας νόσου, όπως το μέγεθος της πλάκας. Περιορίστε την πρόσληψη κορεσμένων λιπαρών, τρανς λιπαρών, κόκκινου κρέατος, ζάχαρης, ποτών με ζάχαρη και νατρίου για να προστατέψετε την καρδιά και τα αιμοφόρα αγγεία σας.
Ενώ οι καρδιακές παθήσεις μπορούν να αντιμετωπιστούν με πολλές μεθόδους, η πρόληψη ή η θεραπεία μέσω ενός λογικού τρόπου ζωής φαίνεται να είναι ένας από τους καλύτερους τρόπους για να μειωθεί αυτό το ευρέως διαδεδομένο πρόβλημα υγείας.
Πηγή: https://www.medicinenet.com/heart_disease_pictures_slideshow_visual_guide/article.htm
Παναγιώτης Σπανός
Προνοσοκομειακός Διασώστης
ΔΙΑΣΩΣΤΕΣ ΡΟΔΟΥ




























